029 2038 2671
Dental Bridge Before and Afters
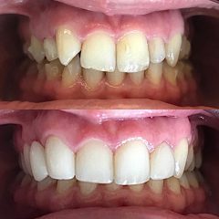
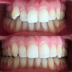
Invisalign
Whitening
Bridge
Crown
Bridge
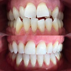
Veneers
Bridge
Dental Crown Before and Afters
Invisalign
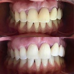
Whitening
Bridge
Crown
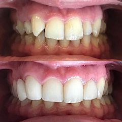
Invisalign
Crown
Teeth Whitening Before and Afters
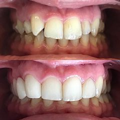
Invisalign
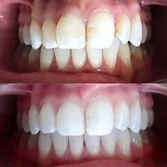
Whitening
Bridge
Crown
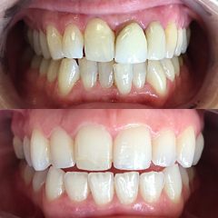
Whitening
Fixed Braces
Whitening
Invisalign
Whitening
Invisalign
Veneers
Whitening
Invisalign
Dental Veneers Before and Afters
Whitening
Invisalign
Veneers
Bridge
Veneers
Air Polishing Before and Afters
Air Polishing Invisalign
Composite Bonding Before and Afters
Composite Bonding